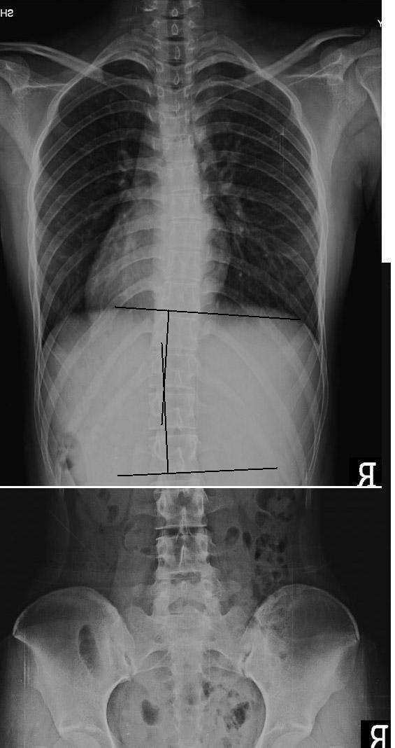
척추 측만증을 추나요법으로 치료한 사례1
분석 : 척추 측만증 치료 전 21도의 측만에서 치료 후 5도의 측만으로 16도 정도의 호전을 보였습니다.
치료 : 주 1회, 3개월간 치료를 받았습니다. 추나요법을 위주로 치료 하였고 체형 교정 운동인 바태운동을 겸하였습니다.
치료 과정에서의 측만각도 호전을 보였으나 현재 완전한 회복을 이룬 것은 아니므로 지속적인 치료가 필요합니다. 본원에서의 치료를 권해 드리며 추나치료 뿐 아니라 바태체형운동을 겸해서 적극적인 치료를 할 계획입니다. 측만 각도의 개선과 더불어 허리 과전만의 감소가 나타나야 합니다.


