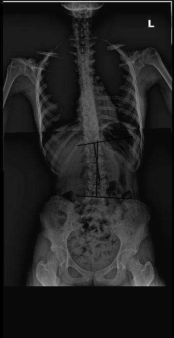
척추 측만증 치료 사례 3

치료 전 9도

치료 후 5도
분석 : 치료 전 9도의 측만에서 치료 후 5도의 측만으로 4도 정도의 호전을 보였습니다.
치료 : 주 1회 , 3개월간 추나요법 및 매선 치료를 하였습니다. 평상시 허리 통증과 만성적인 턱관절 통증을 호소하였는데 이 증상도 더불어 좋아졌습니다. 척추 주변 근육이 매우 약해서 현재 바태운동 즉 체형교정운동을 통해 근력 증강 중이며 바르게 앉기 연습 중 입니다.


치료 전 9도

치료 후 5도
분석 : 치료 전 9도의 측만에서 치료 후 5도의 측만으로 4도 정도의 호전을 보였습니다.
치료 : 주 1회 , 3개월간 추나요법 및 매선 치료를 하였습니다. 평상시 허리 통증과 만성적인 턱관절 통증을 호소하였는데 이 증상도 더불어 좋아졌습니다. 척추 주변 근육이 매우 약해서 현재 바태운동 즉 체형교정운동을 통해 근력 증강 중이며 바르게 앉기 연습 중 입니다.