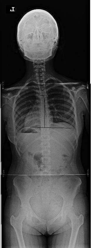
척추 측만증 치료 사례 2
분석 : 치료 전 13도의 측만에서 치료 후 7도의 측만으로 5도 정도의 호전을 보였습니다. .
치료 : 주 1회, 3개월간 치료 하였으며 호전 상태는 매우 양호합니다. 치료과정에서의 측만각도 호전을 보이고 있으나 현재 완전한 회복을 이룬 것은 아니므로 지속적인 치료가 필요합니다. 턱관절이 좋이 않아 학업에 지장이 많았으나 현재 턱관절도 좋아진 상태이며 추나요법과 매선요법을 겸하여 치료 하였습니다. 현재 과전만 치료 중 입니다.



