척추측만증
척추측만증은 치료 시기가 중요합니다.
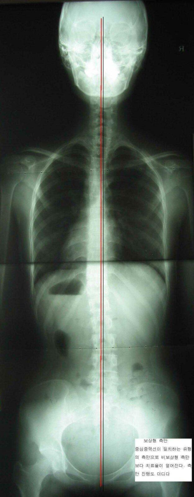
척추 측만증이 생겨 척추가 옆으로 휘게 되면 우리 몸의 중심 (균형)을 잃게 되는데 이 균형을 잡으려고 척추는 반대 방향으로 휘어서 균형을 잡으려고 합니다. 이를 보상이라고 하는데 성장기에는 이 보상작용이 계속 이루어지지만 사춘기 이후에는 대개 보상작용이 종료됩니다. 보상작용이 끝나기 전에는 치료 결과가 좋지만 보상이 끝난 후에는 치료 결과가 현저하게 감소됩니다.
- 사춘기 이후에는 척추의 보상이 끝나버려 척추 측만증의 치료율이 현저히 감소됩니다.
- 척추 측만증은 대개 증상이 없는 경우가 대부분입니다. 즉 통증이 별로 없습니다.
- 타인에 의해 척추 측만증이 발견된 경우 이미 상당히 진행된 경우가 많습니다
- 초기의 척추 측만증은 일반인이 판단하기 어렵습니다
척추 측만증의 원인
요즘 아이들은 앉아서 공부하는 시간이 많기 때문에 척추의 건강 상태는 점점 더 나빠지고 있으므로 일정 기간 마다 검진을 받는 것이 중요합니다.
모든 치료가 마찬가지이지만 특히 척추측만증은 조기에 발견하면 잘 치료될 수 있기 때문입니다
척추 측만증의 분류
선천적인 척추의 골기형이나 후천적인 발육저하로 발생되는 측만이 아니라 특별한 이유 없이 어느 순간부터 발생되는 측만증을 특발성 측만증 또는 척추 구조적 측만증이라 부릅니다




