척추측만증과 추나요법
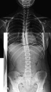
특발성 측만증의 질병의 특성상 조기 진단과 조기에 보존적 치료를 시행하는 것이 중요한데 실제 초등학교 대상으로 척추 검사를 해 보면 저학년의 경우에도 20-30% 정도는 측만증의 가능성을 보이는데 이 비율이 해마다 눈에 띄게 증가하고 있는 추세입니다.
측만증 치료의 목표는 만곡의 진행을 방지하고 척추의 균형 상태를 유지하며, 만곡을 방치하였을 경우 장차 발생될 수 있는 요통을 예방하며, 외관을 좋게 하는 것입니다. 한마디로 건강한 성장을 이루기 위한 기초적인 치료라 할 수 있습니다.
비수술적 치료방법으로는 관찰, 보조기 착용, 운동치료, 전기자극, 수기요법, 추나치료, 침구치료,운동요법 등이 주로 사용되고 있고, 족부 보조기를 통한 측만증 관리에 대한 연구도 이루어지고 있습니다.
측만증은 단순히 어느 하나의 치료로 효과적인 결과를 보이기 어려우나 치료효과가 좋은 경우는 추나요법으로도 만족할 만한 결과를 보이기도 합니다. 그래서 조기진단과 조기치료가 중요하다고 할 수 있습니다.
추나요법을 통해 틀어진 척추를 바로 잡고 바태운동으로 체형 교정운동을 병행하여 바로 잡힌 척추에 새로운 근력을 생기게 하고 침이나 기타 요법으로 경락의 흐름을 좋아지게 하면 측만증은 호전되고 개선됩니다.





