바르게 앉기 서기 걷기

바르게 앉기 서기 걷기 ‘바르게 앉는다.’ 라는 명제는 단순히 본인의 생각과 의지만으로는 고쳐지기 힘든 습관이다. 간혹 바르게 앉기 위해서 지금부터 이 책을 들고 본인이 생각한 바른 자세를 10분이상 유지할 수 있는 사람이 몇 명이나 될까? 실제로는 많지 않다. 아니 극히…

바르게 앉기 서기 걷기 ‘바르게 앉는다.’ 라는 명제는 단순히 본인의 생각과 의지만으로는 고쳐지기 힘든 습관이다. 간혹 바르게 앉기 위해서 지금부터 이 책을 들고 본인이 생각한 바른 자세를 10분이상 유지할 수 있는 사람이 몇 명이나 될까? 실제로는 많지 않다. 아니 극히…

우리 몸은 척추가 틀어지면 보상을 하게 되는데 짧아진 다리길이 차이로 인해 한번만 보상이 일어났다면 같은 쪽 어깨가 낮아 보이겠지만 흔히 보상은 2회이상 일어나므로 반대쪽 어깨가 낮아 보이는 경우도 매우 많습니다.

체형을 평가 하는 데는 두 가지 사진이 필요하다 ; 측면과 전후면-- 전후면 자세에서 척추를 보면 측면과 측면의 균형을 보게 된다. 측면에서는 척추의 만곡을 볼 수 있다.

거북목은 자동차 사고나 낙상과 같은 외상이나 작업 환경에 의해 야기된 수 개월 에서 수 년 사이의 불량한 자세, 취미, 습관, 영양 그리고 심지어는 감정적 스트레스에 의해 악화됩니다

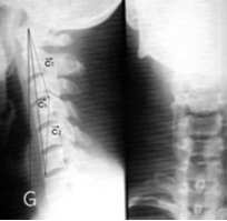
거북목이 발생하면 경추의 만곡이 없어지면서 머리가 인체 중심 중력선보다 앞으로 튀어 나오게 됩니다.
이렇게 되면 보상이 일어나 상체는 뒤로 물러나고 골반은 전방으로 경사되면서 ‘새로운’ 그러나 적절하지 않은 배열이 구조적으로 불안정한 환경으로 발전되고 신경계 기능도 감소합니다.

여러가지 체형변화가 일어나지만 거의 대부분 공통적으로 거북목 현상이 일어납니다. 거북목이란 몸통에 비해 목이 앞으로 빠져 나오는 현상을 말하는데 위의 그림에서 중심중력선이 귀를 지나가야 하지만 비정상적인 체형시에는 중심중력선이 귀를 통과하지 못함을 볼 수 있습니다.

체형은 전체적 관점에서 봐야 합니다. 빙산의 일각을 놓고 저거 삐져 나와서 잘못되었으니 저거 잘라 놓고 보자는 식은 안 된다는 것입니다. 일자목과 거북목의 치료는 결국 골반과 허리부터 치료해야 합니다. 그리고 전체적인 좌우, 전후의 중심중력선이 일치되는 방향으로 치료해야 합니다.

체형이 변하게 되는 원리는 작용과 반작용으로 생각할 수도 있고 나비효과와 같은 연쇄반응으로도 설명될 수 있을 것 입니다. 우리 몸에서는 그것을 보상이라는 용어로 표현합니다. 그리고 그 보상에는 적절한 보상이 있는가 하면 과소보상이 있고 과대보상이 있습니다

일자화가 되면 중심 증력선이 균형이 무너지게 되어 척추 중심중력선이 정상적인 것보다 앞에 위치하거나 뒤에 위치하게 되는데
위의 그림처럼 앞에 위치하게 되면 척추체의 후면인 섬유륜 부위에 열상이 생긴 경우 음압을 형성하여 탈출의 조건을 형성하게 됩니다.