척추측만증이란?
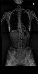
측만증(scoliosis)이란 척추가 뒤에서 봤을 때 반듯하게 서 있어야 하는데 C자 모양, S자모양, 역 S자 모양 등으로 변형되는 걸 말하며 심하면 척추 자체가 회전되어 변형되기도 합니다. 또한 더욱 중요한 것은 옆에서 본 모습에서도 정상적인 척추 만곡이 S자 모양을 이루어야 하는데 대개는 허리 부분의 만곡이 더욱 커져서 허리가 앞으로 밀려가고 배가 볼록 나오게 되는 과전만 형태를 겸하게 됩니다.
측만증은 외관상의 문제뿐만 아니라, 변형이 심한 경우에는 주위의 장기를 전위시키거나 압박하여 기능 장애를 초래하는데 일차적으로는 심폐기능에 문제를 주어 혈액순환과 호흡능력에 문제를 주며 이차적으로는 소화기능을 저하시킵니다. 여자 아이의 경우 자궁기능과 배변 기능에 까지 영향을 주며 성장기 아이에게는 정상적인 성장에 방해를 줍니다.
측만증은 원인에 따라 크게 비구조적 척추측만증과 구조적 척추측만증으로 나눌 수 있지만 갑작스러운 근육통 등으로 허리가 틀어지는 기능적 측만은 통증이 사라지면 소실되는 측만증이므로 측만증 자체가 문제가 되지 않지만 문제가 되는 측만증은 우리 아이들에게 원인이 밝혀지지 않고 생겨나는 측만증입니다. 이 특발성 척추측만증은 80%을 차지하며 진행성인 경우가 많아 적절한 치료를 하지 않을 경우 증상이 계속 심해질 수 있으며 통증과 기형을 유발합니다. 대개는 역 S자 모양이 많아서 우측 등, 좌측 허리가 볼록하게 튀어나옵니다.
이와 같은 척추 변형은 초기에는 증상이 없는 경우가 많지만, 통증을 유발할 정도에 이르게 되면 치료에 어려움이 많으므로 조기 발견과 조기치료가 중요하다고 강조되어 왔지만 오늘날 특발성 척추측만증의 다수를 차지하는 청소년기, 연소기 환자는 어릴 때부터 부적절한 학습 환경과 운동부족에 의해 유발되는 자세이상과 체력저하가 측만증의 치료에 저해요인이 되고, 또한 과중한 학업량으로 인한 여유시간의 부족은 적절한 치료기회를 빼앗아 측만증 치료의 어려움을 더하고 있는 실정입니다.
측만증은 사춘기가 끝나는 시기까지가 치료의 적기이며 이후에는 치료율이 현저히 떨어집니다.




