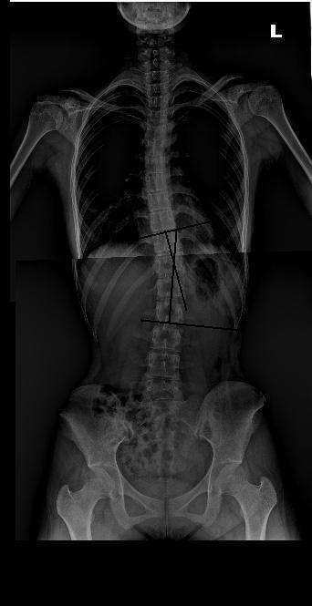
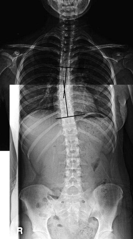
척추측만증을 수술 하지 않고도 치료 할 수 있나요?

측만증은 단순히 어느 하나의 치료로 효과적인 결과를 보이기 어려우나 치료효과가 좋은 경우는 추나요법으로도 만족할 만한 결과를 보이기도 합니다. 그래서 조기진단과 조기치료가 중요하다고 할 수 있습니다.
추나요법을 통해 틀어진 척추를 바로 잡고 바태운동으로 체형 교정운동을 병행하여 바로 잡힌 척추에 새로운 근력을 생기게 하고 침이나 기타 요법으로 경락의 흐름을 좋아지게 하면 측만증은 호전되고 개선됩니다.



