팔저림과 통증- 목디스크의 한방치료

팔 쪽으로의 저림이나 통증이 없이 검사상 목 디스크로 판정된 경우는 상대적으로 증상이 심하지 않기 때문에 치료 수단 역시 간단하게 적용되는 경향이 있습니다.

팔 쪽으로의 저림이나 통증이 없이 검사상 목 디스크로 판정된 경우는 상대적으로 증상이 심하지 않기 때문에 치료 수단 역시 간단하게 적용되는 경향이 있습니다.

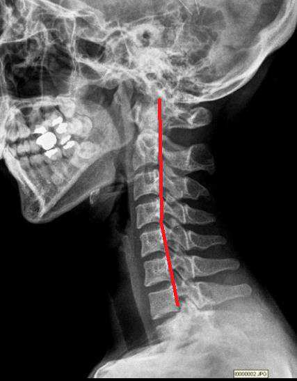
일자목과 디스크를 진단 받은 환자를 추나요법으로 치료한 사례

수기 동작에서 회전을 이용한 테크닉은 매우 위험합니다. 간혹 있을지 모르는 추골동맥의 잠재적 기형이나 문제가 이 회전 테크닉을 통해 돌이킬 수 없는 상황을 만들기도 합니다.
또한 이렇게 경추 수기술에 있어 좌위에서 하는 동작은 섬세한 치료를 하기 어렵습니다.

20대 여성이 목디스크로 인해 만성적인 목의 통증과 어깨 통증으로 내원하였으며 추나요법으로 호전된 치료사례
목, 어깨통증시 자가진단법으로 어깨만의 문제라면 목의 위치에 상관없이 모두 다 잘 올라가지 않아야 하지만, 목의 위치에 따라 어깨를 들어 올릴 때의 통증이나 들어 올리는 정도가 변하면 척추에 기인한 어깨 통증으로 판단할 수 있고 추나요법이 필요합니다.

일자목으로 목의 통증을 호소하는 환자분으로 허리 역시 일자 허리 인데 같이 목이 아프다고 해서 목만 치료해서는 안되고 같이 치료해야 좋아질 수 있습니다.