어린이 교통사고 후유증에 대한 오해 – suv차량에 관하여

전복사고의 경우는 심각한 손상을 일으킬 확률이 2배가 넘게 나타나는데 문제는 전복사고시에 심각한 손상이 일어날 확률이 매우 높아지며 suv차량이 전복 사고를 일으킬 확률이 매우 높다는데 있습니다. 더군다나 suv차량에서 안전장치를 하지 않은 아이들이 심각한 손상을 일으킬 확률은 24배정도나 증가한다고 합니다.

전복사고의 경우는 심각한 손상을 일으킬 확률이 2배가 넘게 나타나는데 문제는 전복사고시에 심각한 손상이 일어날 확률이 매우 높아지며 suv차량이 전복 사고를 일으킬 확률이 매우 높다는데 있습니다. 더군다나 suv차량에서 안전장치를 하지 않은 아이들이 심각한 손상을 일으킬 확률은 24배정도나 증가한다고 합니다.

교통사고의 치료는 통증 부위 뿐 아니라 전체적인 척추의 균형을 회복하는 방향으로 이루어져야 하며 추나치료는 이런 의미에서 매우 중요한 치료방법입니다.

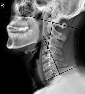
교통 사고시 발생한 채찍 손상으로 경추 주변의 근육이 손상되어서 발생하는 통증이 가장 많지만 그 손상의 정도가 심각할 경우에는 경추의 추체와 추체를 연결하여 고정하는 인대가 손상되어 경추의 불안정을 초래하게 되기도 합니다. 경추의 불안정성을 평가하는 방법은 위와 같이 엑스레이를 찍어보는 것 입니다.

교통사고로 인해 인대나 근육 등 연부조직의 손상만 일어나지 않는다는 것입니다. 인체의 골격이자 기둥역할을 하는 척추의 균형이 무너지게 되고 특정한 척추의 관절이 틀어지게 되면서 증상이 매우 복잡해지고 완고해지며 만성화되는 것 입니다. 사고 후 수 주가 흘렀고 연부조직이 아물기 시작하지만 증상이 좀처럼 가라앉지 않는 것은 대개 척추의 불균형과 틀어짐으로 설명될 수 있습니다. 그래서 사고 후에 척추교정 즉 추나를 통해 틀어진 관절을 바로 잡고 척추의 균형을 회복시키는 것이 매우 중요합니다. 이러한 척추의 틀어짐은 디스크가 잘 생기는 조건이 되기도 합니다.

교통사고 이후 발현되는 여러 정신증상의 개선을 위해 한방병원에 입원하는 환자들이 증가하고 있으며,급성스트레스 증상을 앓고 있는 환자들의 다수가 만성적인 외상 후 스트레스장애로 발전하고 있다.

공포는 교통사고 후유증 중 심각한 손상이외의 평범한 손상임에도 불구하고 호전이 잘 되지 않는 증상을 설명할 수 있는 방법이기도 하고 그러한 경우의 호전에 있어서도 중요한 열쇠 역할을 하기도 합니다.
공포는 우리 몸에 일련한 과도한 긴장 반응을 일으킵니다.

교통사고 후유증은 채찍 손상 혹은 편타성 손상이라 하여 사고로 인한 충격은 목에 엄청난 충격을 주며 이로 인해 목근육의 여러 부분이 긴장됩니다.
이러한 긴장은 목의 경추만곡(목은 약간의 C자 모양의 커브를 이루어야 함)이 감소되어 일자목이 형성되거나 더 지나치게 되면 후만이라고 하여 C자모양이 역전되는 현상이 일어납니다.

일자목과 교통사고 후유증과의 관련성은 연구자마다 상반된 결과를 보입니다. 그러나 채찍손상으로 근육이나 인대의 손상 또는 디스크가 발생되어 근육이 긴장되면 일자목의 발생 가능성은 매우 높아집니다.
다만, 이 일자목의 정도가 심하다고 해서 교통사고 후유증의 예후가 나쁘다고 일방적으로 말하기는 어려운 것 같습니다.

교통사고 후유증은 여성이 더 많고 젊은 연령층에서 다발하며 대개는 승용차로 인한 사고가 많으나 보행 중 사고도 적지 않습니다. 가을철에 다발하는 것으로 조사됩니다.